「大きな病院で親知らずを抜いて」と言われた方へ新着!!
― 当院でも対応できる可能性があります ― 「この親知らずはうちでは抜けません。大きな病院へ行ってください。」 歯科医院でそう言われ、不安になった経験はありませんか?「そんなに危険なの?」「自分の歯は特別悪い状態なの?」 […]
「忙しくて歯医者に行けなかった」
歯の管理が下手な人ほど“損”をする理由――生涯医療費を左右する歯の健康―― 今回はこちらの記事を引用しながら、枚方市の北川歯科医院 副院長北川祐介がどのように歯とお口の健康について考えているかについてお話ししていきます。 […]
高齢者に虫歯が急増するリスクとは?〜原因と今日からできる予防法〜
「子どもの病気」というイメージが強い虫歯ですが、近年は高齢者の虫歯が急増しています。実際、歯科医院の現場では「若い頃は虫歯がなかったのに、60代・70代になってから一気に増えた」「今まで歯が痛くなったことがなかったが、歯 […]
虫歯を放置した人の末路 〜「様子見」で後悔しないために〜
「これって虫歯かな?」「冷たいものがちょっとしみるけど、まだ大丈夫そう」「忙しいし、もう少し様子を見ようかな…」 歯科医院に来られる患者さんから、こうした言葉をよく耳にします。実はこの**“様子見”という自己判断**が、 […]
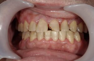
「銀歯の中は虫歯がある」という噂は本当?
銀歯の仕組み・リスク・他の選択肢まで徹底解説 「銀歯の中はほとんど虫歯になっている」「銀歯は外から見えないだけで中が腐っている」 インターネットやSNS、口コミなどで、こうした噂を目にしたことがある方は少なくないでしょう […]
親知らずを放置すると起こる5つのリスク
~「今は痛くないから大丈夫」と思っていませんか?~ 「親知らずがあると言われたけど、今は特に痛くない」「抜くのが怖いし、そのままでも問題ないですよね?」「過去に歯医者さんでいつか抜いた方がいいですよと言われた」 北川歯科 […]
前歯が折れた!原因と治療方法を歯科医が解説
前歯は食事や会話、見た目の印象に大きく関わるため、折れてしまうと強い不安を感じる方が多い歯です。「転んでぶつけた」「硬いものを噛んだら欠けた」「虫歯が進行していた」など、前歯が折れる原因はさまざまです。今回の記事では、前 […]
詰め物が取れた際の適切な対応方法とかかりつけ歯科が休みだった場合について
歯の詰め物(インレー・レジン(白いプラスチックの詰め物)、銀歯、ブリッジなど)が突然取れてしまうと、「すぐに歯医者に行くべき?」「このまま放置しても大丈夫?」「痛くないから様子見でいい?」など、多くの不安が頭をよぎると思 […]
🦷 虫歯や歯周病じゃないのに歯が痛い…それ、“歯根膜炎”かもしれません
「検診で虫歯なしと言われたのに、なぜか歯が痛い」「噛むと響くような痛みがある」「何度か奥歯が痛くなることがあるが、自然に治っていったので様子見ている」 このようなご相談は、実はとても多いです。そして、その原因のひとつに […]
歯が抜けても差し歯はできる?|差し歯が可能な条件とできない場合の治療を徹底解説
知らないと損する“差し歯の条件”を徹底解説** 「歯が抜けたけど、差し歯にすれば元通りですよね?」患者さんからよくいただく質問です。しかし——ここに大きな誤解があります。 実は、歯が完全に抜けてしまった状態では差し歯(被 […]











